New Letters

Kick These Bad Habits And Break The Mold
Reviewed by Ray Spotts Nearly 30% of young adults bite their nails, and there are reasons beyond ugly hands for breaking this bad habit. Biting your nails can interfere with normal nail growth and ...
Read more
Improve Your Odds Against Heart Disease
Reviewed by: Ray Spotts Manage Stress. If stress isn't properly controlled or managed, it can lead to further physiological damage like high blood pressure. This, in turn, will greatly exacerbate y...
Read more
Link Between Gum Disease And Cognitive Decline In Alzheimer's
Periodontitis or gum disease is common in older people and may become more common in Alzheimers disease because of a reduced ability to take care of oral hygiene as the disease progresses. Higher l...
Read more
Teeth Strengthening: Heres A Few Ways That Can Help
It's important to understand that the fundamental strength of teeth is based predominately on the chemistry of the mouth. This means that how we treat and care for our teeth on an everyday basis af...
Read more
Many people aren't aware that there are a number of essential or botanical oils that can be used for ailments instead of more traditional and pricy methods of treatment. This is the case with denta...
Read more
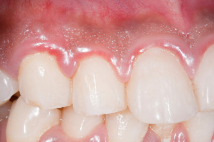
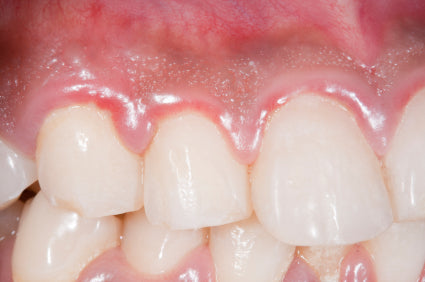
Reviewed by Ray Spotts A cause of receding gums that sometimes doesn't get mentioned is aggressive brushing. All of the parts of your mouth are naturally and inherently fragile and can be sensitive...
Read more
Reviewed By Ray SpottsMaintaining the proper level of oral health is crucial to not just your mouth but your overall health as well. When you ensure that you are taking the necessary steps to prot...
Read more
Reviewed by Ray Spotts We've all been there. While we are brushing or flossing our teeth, we see a little bit of pink in the sink or on the string. While a bit of bleeding can sometimes be consider...
Read more
The effect that plaque and tartar have on teeth is well documented. The most common issue is gum pain, which is usually a sign of gingivitis.
Read more
